596 Cross Road, South Plympton, SA 5038
596 Cross Road, South Plympton, SA 5038

Confident Smiles Made Easy with Discreet Clear Aligners

Lightsview Dentist
Schedule a consultation and boost your confidence with a smile you’ll love!

Invisalign Aligners

The Discreet Option to Perfectly Straight Teeth

Schedule your FREE Invisalign Consultation today and take the first step towards transforming your smile! 
Invisalign Aligners
Welcome to
Cross Road Dental
Make Your Dream Smile a Reality
Certified Clear Aligner Provider
Comprehensive Orthodontic Solutions
We offer premium SureSmile and Invisalign aligners, and are thrilled to be an Invisalign Certified Provider, which means we've received extensive training to ensure that you receive the best care possible throughout your smile journey.

Clear aligners are a game-changer in dental treatment, and it’s no surprise that so many people around the world are choosing them. What makes clear aligners so good is how they combine comfort, convenience, and ease of use, giving you a smooth and enhanced orthodontic experience like no other.
Clear Aligners Address Various Dental Issues
What clear aligners fix
Crooked teeth
Improper spacing
Overbite, Underbite, Crossbite
Crowded teeth

Crooked teeth
Improper spacing
Overbite, Underbite, Crossbite
Crowded teeth
Our Special Orthodontic Offer
30-Minute Orthodontic Consultation
Our expert dentist will examine your dentition and assess which orthodontic treatment best fits your needs and goals.

Personalised Treatment Plan:
We understand that every smile is unique, which is why our team creates a customised treatment plan just for you.

Complimentary Dental Health Kit:
Aftercare is essential to keeping your smile healthy. That’s why we’ll give you a FREE Dental Health Hygiene Kit to help maintain your oral wellness throughout your journey.

Flexible & Affordable Payment Options:
We make it easier for you to get the care you need with our interest-free payment plans, and health fund rebates are available too!

FREE Custom retainers (Save $1,000):
To complete your smile journey, we offer custom retainers at no extra cost, including a free fix wire and retainer.
Exclusive Offer
What Are Clear Aligners?
Orthodontics is all about creating a beautiful, functional smile, and while traditional metal braces have been the go-to for many years, clear aligners offer a more modern and comfortable solution. Clear aligners use custom-made, clear plastic trays to gradually straighten teeth.

Unlike braces, which rely on metal wires and brackets that can irritate the mouth, clear aligners are smooth and removable, giving you the freedom to eat what you want and maintain your dental hygiene with ease.

Clear aligners work by applying gentle pressure to move your teeth into the perfect position over time. They’re discreet and effective for adults and teens who want to enhance their smile without the noticeable appearance of metal braces.
Want to smile wide again Invisalign Aligners
Want to smile wide again?
Flash a brilliant smile that boosts your self-esteem and shines in every conversation.
Straighten your teeth discreetly Invisalign Aligners
Want to straighten your teeth discreetly?
Enjoy a smoother smile in complete privacy with clear aligners that stay out of sight.
Unparalleled comfort Invisalign Aligners
Want unparalleled comfort?
Enjoy a comfortable experience with clear aligners made of smooth, BPA-free plastic.
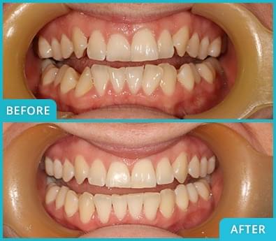
Our Smile Outcomes
Our Patient Stories
Book your appointment today 
◉ 30-Minute Orthodontic Consultation
◉ Interest-Free Payment Plans
◉ FREE Custom Retainers
Femail Patient Invisalign Aligners
Bright smile in three steps
The Clear Aligner Treatment Process
Consultation Invisalign Aligners
The Consultation
We’ll start with a detailed consultation. Then, our dentist will perform an oral evaluation and take X-rays to closely examine your bite, dental hygiene, and overall tooth structure. This helps us ensure you’re the perfect candidate to experience all the incredible benefits Clear Aligners offer. With this information, we’ll create a personalised treatment plan designed just for you.
Treatment Invisalign Aligners
The Treatment
Once you’ve approved your treatment plan, we’ll have your first clear aligners ready in about two weeks. When they arrive, we’ll schedule an appointment to ensure they fit comfortably and securely. Throughout your treatment, it’s important to come in for regular check-ups every six weeks. These visits help us monitor your progress and ensure everything is moving along as planned. We’ll adjust your aligners if needed to keep everything on track for the best possible results.
Straight Smile Invisalign Aligners
Post-Treatment Care
When your treatment is complete, we’ll provide you with a free set of custom-made retainers to wear while you sleep. These retainers will help maintain your beautifully straightened teeth and keep your smile looking great. We’ll also offer personalised advice on maintaining a healthy oral care routine, tailored just for you to ensure your results last and your teeth stay strong and healthy.

Meet Dr Christine Brzezniak

Dr Christine Brzezniak Invisalign Aligners
Dr Christine Brzezniak
BDSc (Adelaide University), Postgraduate Certificate in Dental Implantology (California Implant Institute), Invisalign Certified Provider
Dr Christine Brzezniak is passionate about helping her patients achieve their best smiles through cosmetic dentistry, with a particular focus on Invisalign. Since becoming an Invisalign certified provider over 10 years ago, she has restored countless smiles, providing patients with straight, healthy teeth using clear aligner technology.

After graduating from Adelaide University in 2010, her dedication to improving patient care led her to further her education. She obtained a Postgraduate Certificate in Dental Implantology from the California Implant Institute and has built expertise in root canal therapy and full mouth rehabilitation. As the principal dentist at Cross Road Dental Care, she focuses on providing tailored, minimally invasive treatments that are both effective and affordable. Her friendly, efficient, and gentle approach ensures every patient feels comfortable and well cared for.

When she's not practising dentistry, Dr Brzezniak enjoys spending time with her family and exploring new ways to expand her skills, including in cosmetic injectables.
We love and accept all major health funds
Flexible payment plans to give you your dream smile
We know how important it is to make dental care easy and stress-free. That's why we offer flexible payment options with Zip Pay, making it simple and affordable for you to invest in your smile.

Schedule a 30-minute consultation with one of our expert dentists to see if Clear Aligners are the ideal solution for you.
Happy Patient Invisalign Aligners
Find us at South Plympton
596 Cross Road, South Plympton, SA 5038
Clinic Hours
CUSTOM JAVASCRIPT / HTML
CUSTOM JAVASCRIPT / HTML

Why choose Cross Road Dental?

At Cross Road Dental, we believe everyone deserves top-quality dental care. Our skilled team and modern facilities enable us to offer a full range of treatments, including our highly praised orthodontic services. We’re proud of the close relationships we’ve built with our patients and the trust we’ve earned along the way.

For patient-centred dental care in the heart of Plympton, visit us today! With our experienced team and advanced equipment, you can rest assured that every visit will be met with high-quality treatment.
Terms and Conditions
There’s absolutely no pressure or obligation to proceed with treatment.
If you need to cancel your appointment, please let us know in advance so we can offer that time to another patient who may need it.

Prices can vary based on the complexity of your case.
During your consultation, we'll provide you with a tailored quote and discuss the different payment options available to you.
Payment Plan Availability
All payment plan offers are subject to approval by the registered provider.

Dentist Registration Details
Dr Christine Jingting-Zhao Brzezniak AHPRA Registration No DEN0001651766, type: General
Patient Images are published with consent and are intended for educational purposes only. Results vary between individuals, and all dental procedures carry risks. Please seek professional advice from your dentist to determine whether a treatment is appropriate for your circumstances.