Avail of our New Patient Offer! Complimentary New Patient Hygiene Kit
 596 Cross Road, South Plympton, SA 5038
596 Cross Road, South Plympton, SA 5038

Caring and Quality Dentistry

Lightsview Dentist
Your trusted family and cosmetic dental practice providing comprehensive services for 20+ years in the Plympton region. 

Caring and Quality Dentistry

Your trusted family and cosmetic dental practice providing comprehensive services for 20+ years in the Plympton region.
South Plympton Dentist
Welcome to
Cross Road Dental
Serving the local community for 20+ years
Offering health fund rebates
QIP Accredited
Affordable Payment Plans 
What We Offer
Our Dental Treatments in Cross Road Dental
Digital Smile Design South Plympton Dentist
Digital Smile Design (DSD)
An innovative technology that utilises a unique software to design your unique, beautiful smile! DSD allows you to visualise different options before the start of the treatment.
Dental Implants South Plympton Dentist
Dental Implants
Are you embarrassed by your missing teeth? Not any more! We offer high quality implants that look natural and are designed to last for decades. With our comprehensive implant services and cutting-edge technologies, we'll help you achieve the beautiful and healthy smile you deserve!
Orthodontics South Plympton Dentist
Orthodontics
Our orthodontics are designed to give you the beautiful, aligned smile you've always wanted. Our advanced treatments help correct misaligned teeth, improve your bite and jaw health, and optimise your general oral health.
Preventative Dentistry South Plympton
Preventative dentistry
Regular dental check-ups are crucial for preventing dental emergencies and maintaining oral health. At Cross Road Dental, preventative dentistry is our top priority.
Our Limited Time Offers
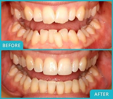
Smile Makeover South Plympton Dentist

Smile Makeover 

◉ Complimentary Consultation
◉ High-quality, Natural-looking Veneers and Crowns
◉ Complimentary New Patient Hygiene Kit
Dental Implants South Plympton Dentist

Dental Implants

◉ Complimentary Consultation (Savings of $149)
◉ High-quality, Aesthetic and Durable Dental Implants
◉ Complimentary New Patient Hygiene Kit
Orthodontics South Plympton Dentist

Orthodontics

◉ Complimentary Consultation
◉ Bonus gift: Custom retainers (savings of $500)
◉ Complimentary New Patient Hygiene Kit
General Check-up & Clean South Plympton Dentist

General Check-up & Clean

◉ Detailed examination of your teeth, gums and mouth
◉ Professional, refreshing clean
◉ Complimentary New Patient Hygiene Kit
Sign up for our New Patient Offer! 
◉ Complimentary New Patient Hygiene Kit
◉ Payment plans available
Male Patient South Plympton Dentist
What to Expect
Your appointment at Cross Road Dental
Fun characters for children South Plympton Dentist
Fun characters for children
Our in-house favourites, Harriet the rubber-glove chicken and Bozo the balloon dog, await our youngest friends so that their first dental experiences are pleasant and comfortable.
Unparalleled Patient Experience South Plympton Dentist
Unparalleled patient experience
Our team of expert professionals take pride in building long-term relationships with our patients and providing them with a high quality and most up-to-date care available.
Luxurious and Modern South Plympton Dentist
Luxurious and modern
We offer a unique dental experience that combines the luxury of a boutique hotel with the comfort of a family-centric dental clinic. We provide quality dentistry with the latest equipment and modern techniques.

Meet Your Dentist at Cross Road Dental

Dr Christine Brzezniak South Plympton Dentist
Dr Christine Brzezniak
BDS | PGCert (Dent Imp) | Smile Makeover | Invisalign | Principal Dentist
Dr Christine Brzezniak is a highly skilled and experienced general dentist who graduated from Adelaide University in 2010. She has a particular interest in Invisalign, dental implants, full mouth rehabilitation, in addition to her expertise in smile makeovers. 

Dr Brzezniak strongly believes in a minimally invasive approach to treatment, tailoring the best treatment plan for each patient to ensure they receive high-quality, affordable dental care. As the principal dentist at Cross Road Dental Care, she is dedicated to providing a pleasant and enjoyable experience for her patients.

With her extensive knowledge, efficiency, and gentle approach, Dr Brzezniak has earned a reputation as a trusted and respected member of the dental community. Whether it's root canal therapy, dental implants, or full mouth rehabilitation, patients can trust Dr Brzezniak to provide them with the best possible care.
CUSTOM JAVASCRIPT / HTML
Dr Michael McCarthy South Plympton Dentist
Dr Michael McCarthy
(BDentSc) | MBA (Healthcare)
Dr. Michael McCarthy is an experienced dentist with a focus on preventative and restorative dentistry. With over 10 years of experience in the field, Dr. McCarthy graduated from Trinity College Dublin in 2011 and has since worked in both the private and public sectors in various parts of Australia.

Dr. McCarthy is committed to providing his patients with a high quality dental care. He specialises in a wide range of general dental treatments, with a particular interest in Oral Surgery, and he incorporates the use of relaxation gas to ensure patient comfort.

In his spare time, Dr. McCarthy enjoys golfing and swimming. He is committed to continuing his education and staying up-to-date with the latest dental techniques and technologies to ensure his patients receive a high level of care.

Dr Michael McCarthy South Plympton Dentist
CUSTOM JAVASCRIPT / HTML
Dr Nicholas Kee South Plympton Dentist
Dr Nicholas Kee
BOralH | GDipDent
Dr. Nicholas Kee is a skilled and experienced dentist with a strong focus on preventative and restorative dentistry. After completing a Bachelor of Oral Health in Dental Science and a Graduate Diploma of Dentistry at Griffith University on the Gold Coast, he spent many years enjoying the Queensland weather before moving to Adelaide.

Dr. Kee is a meticulous practitioner who is committed to providing high-quality care to all his patients. He has a particular interest in implant dentistry and is highly skilled in all aspects of restorative dentistry, helping his patients achieve the beautiful, healthy smiles they deserve.

Dr. Kee is known for his thoroughness and calm, gentle approach, ensuring his patients receive optimal dental treatment in a friendly and comfortable environment. In his spare time, he enjoys playing golf and spending time with family and friends. 
See How Other People Are Changing Their Smile

Welcome to Cross Road Dental

At Cross Road Dental, we believe that every single patient is entitled to a high standard of dental care. To make this possible for our patients, we offer interest-free payment plans and have extended opening hours so as to respect your valuable time. Our team of specially trained personnel and our cutting-edge facilities allow us to provide everything from cosmetic dentistry and orthodontics to implants, hygiene appointments, and general dentistry, all within the same clinic.

We take pride in being an integral part of Plympton’s revival by introducing modern dentistry to both local residents and people travelling here chiefly for our services. It is something we are immensely proud of, that our patients form such a large part of our close-knit family; it is through these long-term relationships that we have been able to build trust with them.

For unmatched quality dental care conveniently located in the heart of Plympton, visit Cross Road Dental today! With our experienced staff and state-of-the-art equipment, you can be confident knowing you will receive superior treatment on every visit.
We Love and Accept All Major Health Funds
Smile Now, Pay Later
We offer convenient, interest-free payment plans tailored to your budget. Get the smile you’ve always dreamed of without worrying about the financial burden - we’ll take care of it for you!
Find us at South Plympton
596 Cross Road, South Plympton, SA 5038
Clinic Hours
CUSTOM JAVASCRIPT / HTML
CUSTOM JAVASCRIPT / HTML
Don't miss out on our new patient offer
◉ Complimentary New Patient Hygiene Kit
◉ Payment plans available
Happy Patient South Plympton Dentist
Terms and Conditions
There’s no pressure, and no obligation to go ahead with treatment.
If you need to cancel your appointment for any reason, please call our office ahead of time so that we can treat other people during your scheduled time.

Prices do vary depending on the complexity of your case.
We’ll share a specific quote and various payment options with you at your consultation.
Payment Plan Offer
Any payment plan offers are subject to approval by the registered payment plan provider.

Complimentary consultation
Due to the high demand for free consultations, there is a limit of 15 minutes for each session per patient. A $50 refundable deposit will be taken at the time of booking to secure the appointment. This is refunded when the patient attends their appointment.
Dentist Registration Details
Dr Christine Jingting-Zhao Brzezniak AHPRA Registration No DEN0001651766, type: General
Note: Any surgical or invasive procedure carries risks. Before proceeding, you should seek a second opinion from an appropriately qualified health practitioner.
Patient Images are published with consent and are intended for educational purposes only. Results vary between individuals, and all dental procedures carry risks. Please seek professional advice from your dentist to determine whether a treatment is appropriate for your circumstances.
Avail of our New Patient Offer! Complimentary New Patient Hygiene Kit